Developing local-acting immunotherapies
Developing local-acting immunotherapies
Ilya Pharma, is currently developing the future of local-acting immunotherapies and fighting disease by local instructions to immune cells and killing of multi drug resistant pathogens
The research is inspired by the early work of Professor Ilya Mechnicov who also received the Nobel Prize in 1908, describing immune cells have multiple functions in vivo, read more here.
Mia’s election recognises her outstanding contributions — both in her research in hashtag#physiology founding Ilya Pharma and in hashtag#driving hashtag#innovation at the interface of science, business and healthcare. Her voice will now join IVA’s distinguished network of thinkers and doers shaping the future of Swedish industry and innovation. IVA — the world’s oldest academy of engineering sciences, which unites around 1,300 leading engineers, researchers, entrepreneurs and business leaders to advance technology, industry and sustainable societal development, see more at iva.se
Lofton Tomenius H et al., (2025) Elimination of highly multidrug-resistant wound bacteria by the lactic acid bacterial drug candidate ILP100. Infectious Disease and Therapy
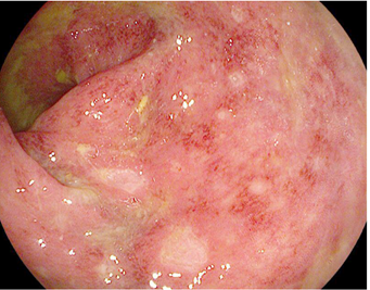
Öhnstedt E et al., (2024) Oral administration of CXCL12 expressing Limosilactobacillus reuteri improves colitis by local immunomodulatory actions in preclinical models. American Journal of Physiology – Gastrointestinal and Liver Physiology
Mishra A, E. (2024) Localized immunotherapy for colitis: breakthroughs with CXCL12-expressing Limosilactobacillusreuteri. American Journal of Physiology – Gastrointestinal and Liver Physiology
Liu, H et al., (2021) Distinct B Cell Subsets in Peyer’s patches Convey probiotic effects by Limosilactobacillus reuteri. Microbiome 9(198).
Öhnstedt, E et al., (2023) Engineered bacteria to accelerate wound healing: an adaptive, randomized, double-blind, placebo-controlled, first-in-human phase 1 trial. eClinicalMedicine a Lancet Discovery Science Journal.
Öhnstedt, E et al., (2022) Accelerated wound healing in minipigs by on-site production and delivery of CXCL12 by transformed lactic acid bacteria. Pharmaceutics 14(2):229.
Vågesjö, E et al., (2018). Accelerated wound healing in mice by on-site production and delivery of CXCL12 by transformed lactic acid bacteria. Proceedings of the National Academy of Sciences, 115(8), 1895–1900.
Karimi, S et al., (2016). In Vivo and In Vitro Detection of Luminescent and Fluorescent Lactobacillus reuteri and Application of Red Fluorescent mCherry for Assessing Plasmid Persistence. PLOS ONE, 11(3), e0151969.
Phillipson, M., and Kubes, P., (2019) The Healing Power of Neutrophils. Trends in Immunology Jul;40(7):635-647.
Vågesjö, E et al., (2021). Perivascular Macrophages Regulate Blood Flow Following Tissue Damage. Circulation Research May;128(11):1694-1707.
Well known, but biochemically unstable, human therapeutic proteins are produced locally exactly where they are needed by live lactic acid bacteria acting as local mini-bioreactors.
The modality is new and allows the use of a wide range of immune active proteins that are not suited to be developed as traditional biologics or gene therapy and in a very cost-efficient way.
The formal INN name for the lead asset is emilimogene sigulactibac, the working names are ILP100-Topical and ILP100-Oral and these are classified as GTMP and gene therapy by the EMA and FDA.
The platforms competitive advantages include:
Ilya Pharma's two lead programs addresses life threatening difficult skin wounds in immunocompromised patients and patients with genetic rare disease and colitis in especially cancer patients showing the focus on profitable indications within the immunotherapy space
ILP100-Topical has undergone extensive drug profiling with successful regulatory interactions and approvals for phase 1 and 2/3 trials in EU (EMA/CAT, Swedish MPA) and US (FDA/CEBR), a first in human double blinded RCT trial showing favourable safety profile and 10 days quicker skin healing. An IND is open in the US and a clinical trial in pediatric patients with the genetic disease SAVI have ben planned together with experts at interferonophaties at the NIH, FDA have granted an Rare Pediatric Disease Designation (RPDD) for SAVI and the ILP100-Topical may very well be both the first genetically modified bacteria to be approved and the first immunotherapy for wound treatment to be approved. Have been vetted with Indian CDSCO and Chinese NMPA by potential partners.
ILP100-Oral has completed the non-clinical developments showing very favourable safety profile and double the efficcacy in models of colitis as the most potent variants of the approved aTNF (Infliximab) and a4b7 (Vedolizumab) inhibitors marketed for treatment of ulercerative colitis. A preIND meeting with the FDA was held and FDA supports evaluation of ILP100-Oral as first line treatment in mild and moderate coltis in cancer patiens caused by the immune check point inhibitors (ICIs). The company is supported by the globally recognised experts at MD Andersson Cancer Center.
Ilya Pharmas lead assets are complemented by a pipeline of preclinical assets for indications in lung, being fully funded by the EU Marie Sklodowska Curie program, as well as programs adressing AMR/MDR exploring on the commercially yet untapped opportunity treating pan-resistant bacterial infections with lactic acid bacteria.
Ilya Pharma conducts its own development, with GMP/GCP in house capabilities as well as in partnership with other renowened international thought leaders and organisation. The long-term relationships with European Innovation Council, National Institure for Health, Uppsala University, Swedsih Univerity of Agriculture and Katolishe University of Leuven are such examples.
The different regulatory pathways for accelerated approvals for innovative Cell- and Genetherapeis including the FDA RPDD and RMAT significantely dersiks and limits the investments needed into the developments until approval with indicative values in the range of >100 mUSD.
Ilya Pharma is targeting exclusively primary proceeds of approximately 40-60 mUSD and expects to allocate a majority of such proceeds to the development of the lead assets ILP100-Tipcal to BLA in SAVI accessing value related to the sale of a Priority Review Voucher of indicated 150mUSD and ILP100-Oral to complete the first planned phase 1/2a clinical study in ICI induced colitis. Based on the current capex forecasts Ilya Pharma will be funded into 2028.
EU Grants


Proof of principle research grants allowing company creation and validation



Collaborators

Selected awards and recognition


Ilya Pharma AB, Dag Hammarskjölds Väg 36b, 752 37, Uppsala, Sweden